健康管理

健康科普 | 为什么医生要让你做增强CT?检查的注意事项有哪些?

时间:2024.12.25

来自:

阅读:1922

为缓解受检者/患者的焦虑,希望通过此文为大家答疑解惑,帮助受检者更好的理解增强CT检查的过程和重要性,了解相关注意事项。

图片

图片

什么是增强CT?

为什么需要做增强检查?


图片

增强CT扫描仪

图片

通俗地讲,增强CT就是普通平扫CT的“升级版”或者“加强版”。增强CT是在平扫CT的基础上,在检查过程中将碘对比剂通过静脉注射到受检者血管中,通过增加病变组织和正常组织之间的密度差异,从而产生更清晰的图像。

 一般是在普通CT平扫无法明确病变性质或位置时使用,它是提高诊断准确率的一种手段。通过增强CT检查,我们可以提高病变检出率、反应病变的供血情况、帮助定位或定性、有利于鉴别诊断及指导治疗等。值得注意的是,这种检查需要注射碘对比剂。

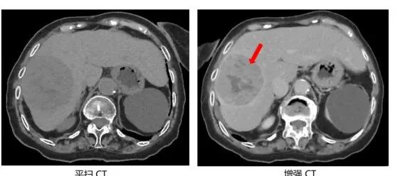
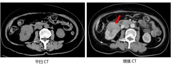
下面我们来看看平扫CT和增强CT的差别。下图分别为肝脏和肾脏平扫CT图像与增强CT图像的比较,在增强CT上医生可更清晰的发现肝脏和肾脏的病变,且对病变的良恶性判断有帮助。

图片

图片图片

图片

哪些人不适合做增强CT检查?

图片

在行CT增强检查前,患者应向医生提供详细的病史,包括各种皮肤过敏史(食物、药物等)、哮喘、肾功能情况、甲状腺疾病及糖尿病病史等。由临床医生评估患者是否适合进行增强扫描。

以下情况会被特别关注:

1、既往有严重碘对比剂过敏或甲状腺危象患者应避免进行CT增强检查;

2、甲状腺疾病、肾功能不全、支气管哮喘患者需谨慎进行CT增强检查;

4、孕妇禁做该项检查;

5、哺乳期妇女在使用对比剂后需停止哺乳24小时;

6、其他对碘对比剂有特殊反应或禁忌的患者。

注:详遵医嘱或参考美国放射学院(ACR)2023版《药物和对比剂指南》

图片
图片

CT增强检查前有哪些注意事项?

图片

1、检查前一天清淡饮食,检查前应尽量保持空腹,“空腹”指“禁食但不禁水”,需有家属陪同检查(注:为患者注射碘对比剂后部分患者可能会产生过敏反应,过敏反应可能出现呕吐,而食物残渣误入气管会导致窒息等严重的并发症);

2、检查前患者自备饮用水;腹部CT检查前需禁食6-12小时,并于扫描前饮水500-1000ml;检查前1周避免做胃肠道钡餐检查,以免影响图像质量,已做钡剂检查的患者,须待钡剂完全排空后方可进行检查;

3、糖尿病服用二甲双胍的患者,若存在肾功能异常,应遵循医嘱在检查前48小时及检查后48小时暂停服药;

4、不穿带金属扣子及饰品的衣服,不戴首饰;检查前去除检查部位金属饰物,以免造成金属伪影干扰图像。

图片

CT增强检查过程中需要如何配合检查?

图片
图片

1、CT增强扫描通常只需几分钟,为确保图像质量,检查过程中患者应保持静止不动,避免移动身体;注射碘对比剂后会有全身发热的感觉,这是正常反应。

2、增强CT检查时需要患者进行呼吸配合,即按照医生的要求进行深呼吸或屏气等动作,患者应提前练习“深吸气-屏气”的呼吸动作,以确保在扫描过程中获得清晰图像。

3、行冠状动脉CTA检查的患者,如检查过程中出现心律不齐、房颤、室颤等情况可能会导致检查失败。


图片

CT增强检查后需要注意哪些事项?

图片

一、留观30分钟,观察身体反应

检查结束后,患者应在观察区留观30分钟,以便观察是否出现过敏反应或其他不适症状;如有异常,立即向医生报告。身体无不适后拔留置针,按压至不出血方可离开。

二、多喝水,促进对比剂排泄

由于对比剂主要通过肾脏代谢,根据病情情况,无禁忌者检查后应尽量多喝水,帮助肾脏充分水化以加速对比剂的排出

图片

以上内容仅用于科普,具体情况请遵循医嘱。