时间:2026.04.24
来自:成都青城山医院
阅读:3
很多人拿到体检报告,看到"肝内钙化灶"这个词时,心里都会咯噔一下,瞬间紧张起来。今天,我们就来聊聊这个让很多人寝食难安的名词,告诉你一个真相:它其实并不可怕,更像是肝脏上一道早已愈合的"小伤疤"。
一、什么是肝内钙化灶?
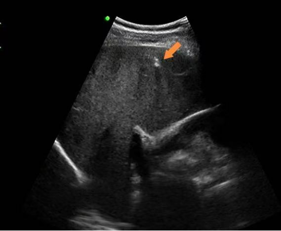
肝内钙化灶,简单说就是肝脏局部组织里的钙盐沉积。你可以把它想象成身体为了修复某个微小的肝脏损伤,而留下的一个"小补丁"。在B超或CT影像上,这些钙盐沉积会呈现为一个或多个白色的亮点。

它本身不是一种独立的疾病,而是过去肝脏发生过某些变化后,留下的一个稳定的、无害的痕迹。
二、为什么会出现肝内钙化灶?
肝内钙化灶的形成原因有很多,绝大多数都与肝脏的"旧伤"有关:
1.炎症愈合后的疤痕:这是最常见的原因。比如,你可能在不知情的情况下感染过轻微的肝脏炎症,身体的免疫系统在清除病原体后,会修复受损的肝细胞。在修复过程中,钙盐就可能沉积下来,形成钙化灶。
2.肝内胆管的小结石:胆管里的微小结石也可能表现为钙化灶,通常没有任何症状。
3.肝脏的轻微外伤:肝脏曾受到过轻微的撞击或损伤,在自我修复后留下的疤痕也可能发生钙化。
4.寄生虫感染的遗迹:极少数情况下,某些寄生虫(如肝包虫)的虫卵或虫体死亡后,其残骸会引起身体的免疫反应,最终形成钙化灶。
三、它会癌变吗?需要治疗吗?
1.关于癌变:请放心,单纯的肝内钙化灶本身不会癌变,也不是肝癌的前兆。它和肝癌是两种完全不同的东西。
2.关于治疗:答案是,绝大多数肝内钙化灶都不需要任何治疗。因为它是良性的、稳定的,不会长大,也不会引起任何症状,更不会影响肝脏的正常功能。
它就像皮肤上的一道旧疤痕,虽然会一直存在,但对健康没有任何影响。
四、日常注意事项
虽然肝内钙化灶不需要治疗,但定期观察还是很有必要的:
1 .定期复查:建议每年做一次肝脏B超检查,观察钙化灶的大小和数量是否有变化。只要它一直稳定,就完全不用担心。
2.保持健康生活:平时注意保护肝脏,少喝酒,避免熬夜,均衡饮食,多吃蔬菜水果,少吃油腻和辛辣的食物。
3.不要盲目用药:市面上很多所谓的"溶石药"或"排石药"对肝内钙化灶是无效的,乱吃药反而可能增加肝脏负担